'Virus hunters' search for dangerous viruses in bat filled caves to predict pandemics found a match for novel coronavirus in a cave. This could help in developing vaccines and treatments
The billionaires added $308 billion to their wealth, while 26 million Americans lost their jobs, in the face of coronavirus crisis. Bezos's wealth grew 'unprecedented'
Animals susceptible to the coronavirus offers us, candidates, to know the evolution of the virus and to test potent drugs on them, ferrets look promising
Many of the Gulf countries that employ millions of people from poor Asian nations are seeking the migrants' return to their respective home countries amid the pandemic.
Study in New York's largest health system shows coronavirus deaths are almost similar normal deaths among those admitted for respiratory illness, 20% of all admitted patients died
Saint Lucia reported that all of its coronavirus affected recovered making it a country with 100 percent recoveries. Those in high risk category also recovered without critical care
Family of theoretical physicist Stephen Hawking decided to donate his private ventilator to help fight COVID-19, daughter Lucy donates it to a Cambridge hospital
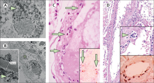
New Swiss study says that COVID-19 infection attacks the lining of blood vessels throughout the body leading to multiple organ failure, recommends vascular health support in addition to vaccine
Asthma was not considered as a common secondary health condition in COVID-19 patients, as per data released by the New York Department of Health, other studies show the same
One-fourth of YouTube videos on COVID-19 had misinformation, while Govt. and professional videos were clean, they accounted for only 10% of the overall views
Video shows taxi driver who helped ferry patients and the needy routinely to hospital for free, in return received much deserved respect. The footage got viewed by more than 11M