Scientists discover that Prevotella copri, a common human gut microbe, evolved and developed in humans, including 5,300-year-old Iceman Otzi. So why is it reducing today?
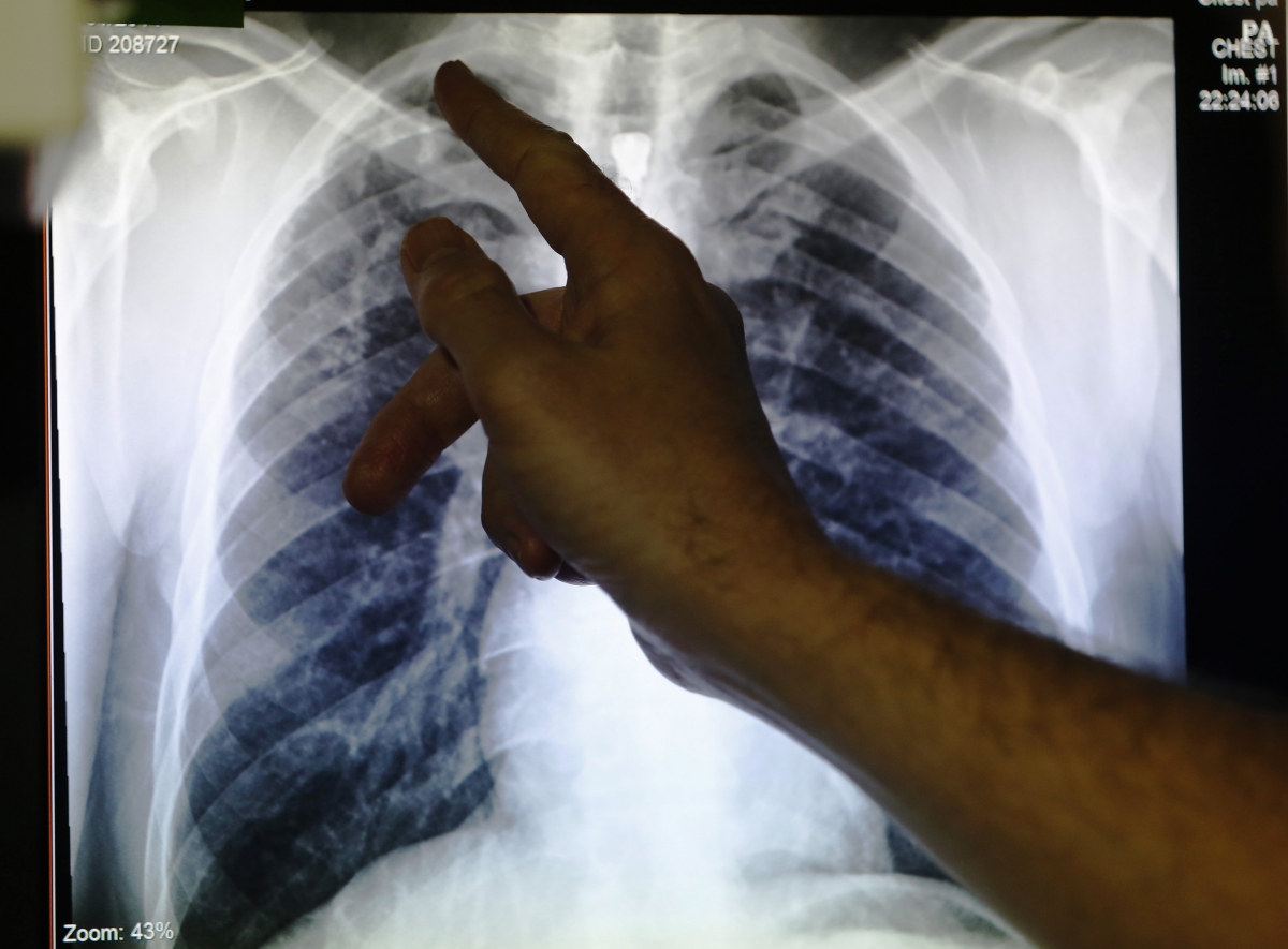
A WHO report says more efforts are needed in the form of funding and R&D to eradicate TB as about 10 million people diagnosed with the disease in 2018.
According to a study, food rich in high fiber can help fight type-2 diabetes and hypertension, which are strong risk factors for cardiovascular disease.
Scientists have used bacterium E. Coli to produce on a mass scale psilocybin, a psychoactive chemical found in magic mushroom, and can potentially treat addiction and depression.
According to a study, cooked veggies altered the microorganisms in the gut and influenced the health aspects in humans as well as mice, leading to weight loss.
According to research, a few microbe and yeast in your body can ferment carbohydrates into ethanol in your body, which can make you drunk without consuming alcohol.
Scientists in a Sudan facility are testing a drug for fungal mycetoma -- deadly flesh-eating fungi -- which affects people in subtropical and tropical areas from Mexico to India.